مكة المكرمة _ عبدالرحمن المحمادي إستضافت صحة مكة المكرمة مساء الأمس الأربعاء، الدورة التدريبية لمؤشرات الأداء والتحول الصحي، لبرنامج مكافحة...
حذر استشاري طب العيون بحسب تقرير نشرته صحيفة (ديلي ميل) البريطانية، من تزايد المخاوف مع تشخيص إصابة أطفال بريطانيين،...
في إنجاز طبي متميز، نجح أطباء في المستشفى السعودي الألماني – مكة باستئصال 15 ورماً ليفياً رحمياً ودون أية...
الجوف - عامر الشلاقي تمكن الفريق الطبي في مركز العيون بمستشفى الملك عبدالعزيز التخصصي بالجوف من إجراء تدخل جراحي...
كشفت وزارة الموارد البشرية والتنمية الاجتماعية وبالشراكة مع وزارة الصحة عن بدء تنفيذ قرار توطين مهن طب الأسنان بنسبة...
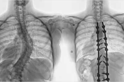
نجح أطباء جراحة المخ والاعصاب والعمود الفقري والأشعة التداخلية في مستشفى الملك فهد التخصصي ببريدة، بإجراء تدخل طبي نوعي، لإنهاء...
دقت منظمة الصحة العالمية؛ ناقوس الخطر، بعد تقارير أكدت، وفاة ما لا يقل عن 5 أشخاص، لا سيما في...
حذّرت وزارة الصحة من أن كِبار السن هم الأكثر عُرضة لمخاطر الإنفلونزا، داعية إلى ضرورة الحصول على اللقاح للحماية....
الجوف - عيد الشنوانتصوير - فادي عيد الشنوان شارك مركز طب الأسنان بمحافظة دومة الجندل فعاليات اليوم العالمي للدفاع المدني...
ضبطت وزارة الصحة بمشاركة جهات حكومية، عددًا من مدعي الطب، ومخالفين في مجال الممارسات الصحية والمخلة بالواجبات والأخلاقيات المهنية،...
يُبشّر اختبار دم بسيط باكتشاف الإصابة بمرض ألزهايمر في طور مبكر، ممّا يُمثّل اختراقاً كبيراً في مجال تشخيص هذا...
كشفت دراسة حديثة أن عقاراً يُستخدم لعلاج الربو «منذ وقت طويل» يمكن أن يوفر الحماية من الحساسية الغذائية الخطيرة،...