أجازت منظمة الصحة العالمية نسخة مبسطة من لقاح فموي ضد الكوليرا، مما سيتيح زيادة الإنتاج الإجمالي من هذه اللقاحات في...
الحدث - مسفر الشلوي تعتزم شركة أميركية لطرح بديل للقهوة من "نواة التمر" وذلك حفاظا على البيئة. ...
بعد مرور نحو أربع سنوات على بدء جائحة كورونا، لا يزال من الصعب تقييم حالة طالب عمره 12 عاما...
أعلنت منظمة الصحة العالمية أن عدد الأرواح المفقودة بسبب التهاب الكبد الفيروسي أخذ في الازدياد، وهو المرض المعدي الثاني...
بعد انتشار أخبار كثيرة تفيد بانتشار مرض غريب في مناطق متفرقة من سوريا، خصوصا في العاصمة دمشق، يرجح أنه أحد...
شهدت هوليوود جنونًا بسبب منتج جديد يدعى “الأوتازمبيك”، حيث ادعى مشاهير “تيك توك” ابتكار نسخة طبيعية من طريقة فقدان الوزن...
من شوارع نيويورك الصاخبة إلى منحدرات تلال إثيوبيا الهادئة، تعتبر القهوة جزءا أساسيا من الحياة اليومية لملايين البشر. وتحتل القهوة...
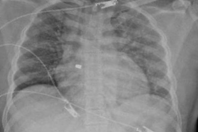
باشرت السفارة السعودية لدى جمهورية مصر العربية -بالتعاون مع الجهات المصرية المعنية- نقل حالة طبية حرجة لمواطن من مطار...
تمكن جراحون أميركيون من أن يزرعوا للمرة الأولى كلية خنزير معدّل وراثياً لمريض حيّ، على ما أعلن مستشفى أمريكي...
مكة المكرمة- نهاد قدسي تمكنت خبيرة تصفيف الشعر وتلوينه السيدة نجاة عزمي بخبرتها العميقة في هذا المجال أن تحقق إطلالات...
حذّرت منظمة الصحة العالمية أمس الخميس من أنّ منطقة أمريكا اللاتينية والبحر الكاريبي ستشهد هذا العام أسوأ موسم لحمّى...
مكة المكرمة _عبدالرحمن المحمادي دعت وزارة الصحة الراغبين في القدوم لأداء فريضة الحج لهذا العام 1445هـ من حجاج الداخل إلى...