|

"مستشفى القوارة".... يستخرج شظية كامنة 8 سنوات في كاحل حاجة سورية

الكاتب : الحدث 2024-06-27 06:17:31

 
متابعات - محمد العتيق 


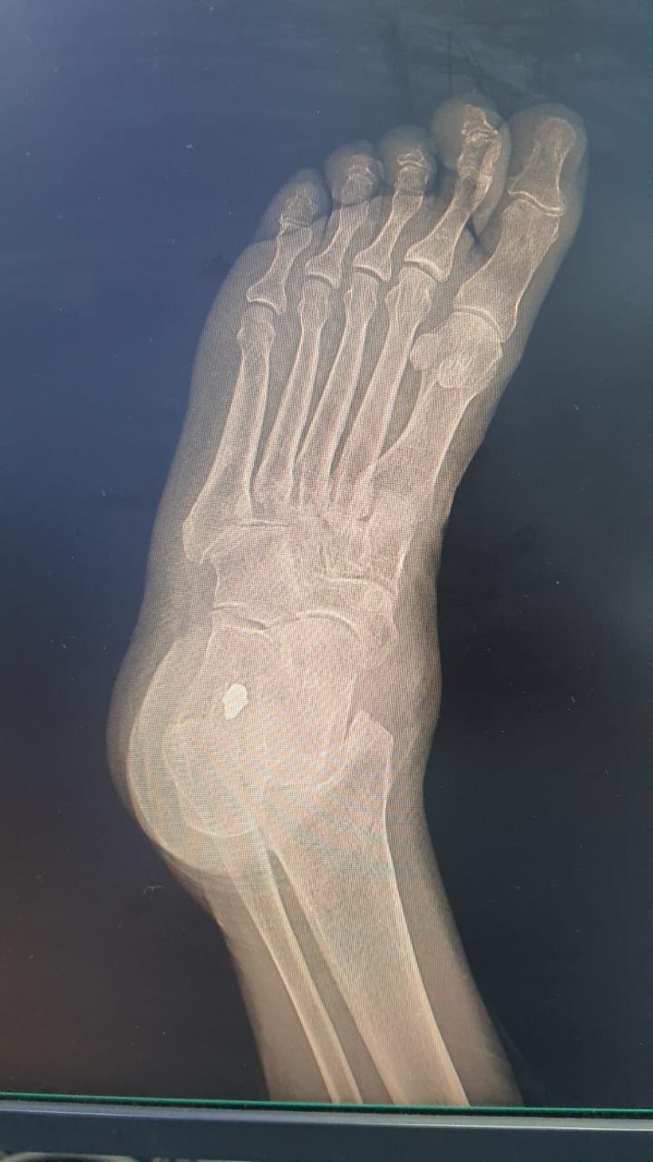
نجح فريق طبي متخصص في مستشفى القوارة العام عضو تجمع القصيم الصحي بإنهاء معاناة مزمنة دامت 8 سنين لمريضة تبلغ من العمر ٨٧ عاما  قدمت إلى المملكة لأداء مناسك الحج لموسم 1445 ضمن بعثة الحج السورية.

وفي التفاصيل أوضح التجمع أن الحاجة التي راجعت قسم الطوارئ بالمستشفى أثناء مرورها بمنطقة القصيم في رحلة العودة لبلدها بعد تأدية مناسك الحج وكانت تشكو من ألم متكرر منذ سنوات طويلة في كاحل القدم اليسرى مع وجود ورم في نفس المكان يزداد حجما مع المشي مما أثر على حركتها ونشاطها الطبيعي، مشيرا إلى أن الفحوصات والأشعة السينية التي أجريت للمريضة بالمستشفى أظهرت أن معاناتها ناجمة عن وجود شظية في مفصل الكاحل الأيسر.

ولفت إلى أن الفريق الطبي بإشراف الدكتور جلال هادي استشاري جراحة العظام قرر إجراء عملية جراحية للمريضة تم خلالها استخراج الشظية بمساعدة جهاز الأشعة مع المحافظة على سلامة الأوعية الدموية والأعصاب القريبة منها.

وأكد تجمع القصيم الصحي أن الحاجة السورية غادرت مستشفى القوارة بعد العملية الجراحية في كاحلها وهي بصحة جيدة ولله الحمد، منوها بأن التدخل الطبي يأتي ضمن مصفوفة الخدمات الصحية العلاجية التي تقدمها وزارة الصحة لضيوف الرحمن من حجاج بيت الله الحرام.