|

فريق طبي بـ "رابغ العام" يستخرج قطعة معدنية من بلعوم طفل في عمر السنتين

الكاتب : الحدث 2023-09-03 11:31:13

جدة - عبدالرحمن المحمادي 

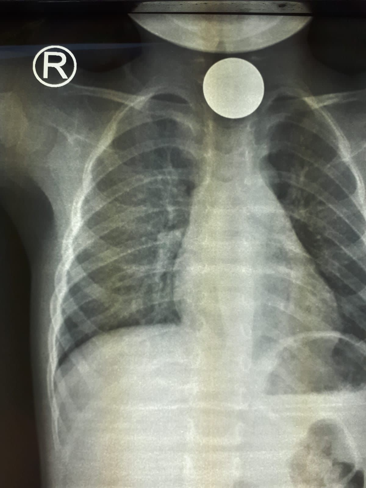
تمكن - بفضل الله - فريق طبي بمستشفى رابغ العام من استخراج قطعة معدنية من بلعوم طفل يبلغ من العمر عامان خلال عملية لم تستغرق أكثر من 10 دقائق.

وأوضحت (صحة جدة) أن الطفل قَدِم إلى طوارئ المستشفى وهو يشكو ابتلاع جسم غريب (قطعة نقود معدنية) كانت قد علقت في منطقة البلعوم؛ مما تسبب في اختناق وعدم قدرة على البلع؛ حيث قرر الطاقم الطبي إجراء عملية عاجلة بالمنظار لإزالة الجسم الغريب، والتي تبين أنها قطعة معدنية نقدية، وقد كُللت العملية بالنجاح  دون حدوث مضاعفات - ولله الحمد - وقد غادر الطفل المستشفى وهو بصحة جيدة.
يذكر أن العيادات الخارجية بمستشفى رابغ العام  استقبلت 25419 مراجع ، خلال الـ 7 أشهر الأولى من العام الجاري 2023م.