|

مستشفى سليمان الحبيب بالقصيم يُنهي معاناة عشرينية من انحراف مضاعف في العمود الفقري

الكاتب : الحدث 2022-02-17 11:51:43

 

أنهى فريق طبي بمستشفى الدكتور سليمان الحبيب بالقصيم، معاناة شابة تبلغ من العمر 18 سنة، كانت تعاني من انحراف خلقي مضاعف في العمود الفقري "الجنف"؛ الأمر الذي تسبب في تأجيل المريضة لدراستها.. هذا ما أوضحه الدكتور هاني الجهني استشاري جراحة المخ والأعصاب والعمود الفقري الحاصل على البورد الفرنسي ورئيس الفريق الطبي المعالج.

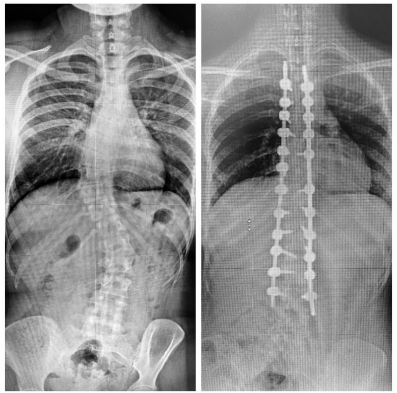
وأضاف أن المريضة وصلت للمستشفى برفقة ذويها تشكو من انحناء حاد في العمود الفقري، يصاحبه آلام حادة ومتكررة مع صعوبة التبول، بالإضافة إلى مشاكل دائمة في التنفس؛ مشيرًا إلى أنه تم إخضاع المريضة لكل التحاليل المخبرية وفحوصات دقيقة بالرنين المغناطيسي (M.R.I) والتصوير المقطعي (C.T Scan)، وقد أبانت الفحوصات أن وضع المريضة يعد من الحالات المعقدة جدًّا، نظرًا لوجود اعوجاجين؛ الأول ناحية الصدر نسبته 55 درجة، أما الانحراف الثاني أسفل الظهر بنسبة 40 درجة.

وعن العملية أفاد استشاري جراحة المخ والأعصاب والعمود الفقري بأن الفريق الطبي المعالج قرر التدخل الجراحي بعد مراجعة دقيقة لكل المعطيات الطبية، موضحًا أن العملية استغرقت 6 ساعات متواصلة، وتم فيها تعديل الانحرافين بنجاح تام عبر استخدام أحدث التقنيات وأدوات تثبيت الفقرات والمصنّعة من مادة التيتانيوم والكوبلت.

وقال الدكتور "الجهني": إن جهود الفريق الطبي والتقنيات الحديثة المستخدمة ساهما في إنجاح العملية بنسبة 100%، مضيفًا أن المريضة استطاعت في اليوم الثاني بعد العملية الجراحية، الوقوف والمشي ولله الحمد، وخرجت من المستشفى في غضون 5 أيام وهي بصحة جيدة.

وفي الختام أطلق الدكتور هاني الجهني تحذيرًا من إهمال إصابات الجنف، وقال إنها يمكن أن تتسبب في مضاعفات خطيرة لضغطها المباشر على القفص الصدري والرئتين والقلب؛ مسببًا الشعور بآلام حادة، علاوة على تغيير مظهر وقوام المصاب، ودعا مَن تظهر لديهم أعراض انحراف العمود الفقري التوجه فورًا إلى المستشفيات والمراكز المتخصصة، التي تتوفر فيها الكوادر المؤهلة.