أعلنت وزارة الصحة، اليوم الثلاثاء، تسجيل 107 حالة إصابة جديدة بفيروس كورونا الجديد (كوفيد-19)، ليصبح الإجمالي 824747 حالة.وقالت الوزارة...
الحدث - محمد العتيق نفّذ فريق طبي متخصص بجراحة المفاصل والعظام في مستشفى الولادة والأطفال ببريدة تدخلاٌ جراحيًا نوعيًا...
عبدالعزيز السلطاني - عرعر اطلقت صحة منطقة الحدود الشمالية مبادرة ميدانية توعوية بمناسبة اليوم العالمي للسكري، بحضور مدير الشؤون الصحية...
بيشه - ندى الشهري تمكن فريق طبي بمستشفى الولادة والاطفال بيشة من استئصال ورم نادر بالمنظار من رحم مريضة في...
الطائف - هلال اليزيدي افتتح مدير الشؤون الصحية بمحافظة الطائف سعيد القحطاني صباح اليوم الثلاثاء مركز الغسيل الكلوي بمستشفى تربه...
الجوف - سعد حمد الشمري تزامنا مع اليوم العالمي للسكري والذي يصادف ١٤نوفمبر من كل عام فعلت مؤسسة رعاية الفتيات...
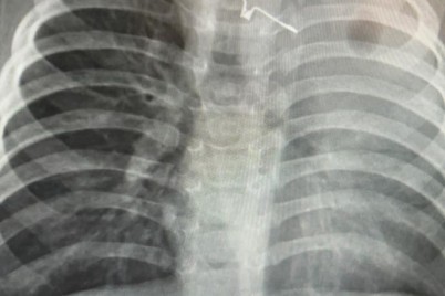
جدة - سلطان السلمي تمكّن فريق طبي جراحي بمستشفى الملك عبدالعزيز بجدة، من إزالة جسم غريب علق في مرئ...
الأحساء - طاهر الجعيدان أقامت المؤسسة العامة للري بالتعاون مع مديرية الشؤون الصحية بالأحساء اليوم الاثنين الموافق 14 نوفمبر2022م في...
الحدث - هلال اليزيدي تستضيف سلطنة عُمان الأسبوع القادم أعمال المؤتمر الوزاري العالمـي الثالث حول مـقاومة مضـادات الميكروبات الذي...
الجبيل - فيصل العوهلي في اطار تفعيل اليوم العالمي للسكري في الرابع عشر من نوڤمبر وإنطلاقاً من المسئولية المجتمعيه تم...
حائل - عبدالعزيز المعارك استقبل مخيم صحة حائل اليوم، عدد من الآباء كبار السن "كبار القدر والمقام" يرافقهم مدير دار...
مكة المكرمة - محمد العسيري افتتح مدير عام الشؤون الصحية بمنطقة مكة المكرمة الدكتور وائل بن حمزه مطير، المقر الأول...