حائل - عبدالعزيز المعارك نفذت صحة حائل ممثلةً في إدارة صحة البيئة والصحة المهنية بالصحة العامة خلا هذا الأسبوع عدد...
الحدث - صالحه القحطاني أعلن معالي وزير الصحة فهد الجلاجل، أن الفرص الواعدة للاستثمار في القطاع الصحي يصل إجماليها إلى...
نظمت الجمعية السعودية لأمراض وزراعة الكبد (SASLT) يوم السبت 13 ربيع الآخر 1445هـ، الموافق 28 أكتوبر 2023 في العاصمة الرياض...
وقّعت الهيئة العامة للغذاء والدواء , والهيئة السعودية للتخصصات الصحية , في ملتقى الصحة العالمي 2023 , اليوم ,...
الحدث - فيصل العوهلي برعاية رئيس جامعة الإمام عبدالرحمن بن فيصل أ.د.عبدالله الربيش نظم مستشفى الملك فهد الجامعي، حملة توعوية...
يشارك مستشفى الملك فيصل التخصصي ومركز الأبحاث، كشريك إستراتيجي صحّي في ملتقى الصحة العالمي 2023، الذي ينطلق في الرياض...
قدّمت أقسام الطوارئ والعيادات الخارجية في مستشفى نجران العام الجديد الخدمات العلاجية والاستشارية لـ 46183 مستفيداً، وذلك خلال الربع...
أوضحت وزارة الصحة، اليوم الاثنين، أربع مزايا للكشف المبكر عن سرطان الثدي. جاء ذلك في دليل إرشادي أصدرته الوزارة...
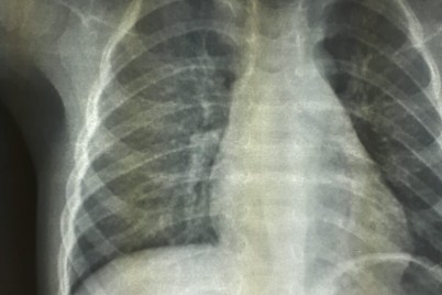
الحدث - محمد العتيق في إطار التعاون الثنائي المشترك بين مكونات تجمع القصيم الصحي وضمن تفعيل مبادرة" قبس" نجح أطباء...
توصلت دراسة طبية جديدة إلى أن الذكاء الاصطناعي يمكنه اكتشاف مرض السكري من النوع الثاني بمجرد الاستماع إلى المريض...
أكدت وزارة الصحة على أنه يُفضّل تأجيل موعد التطعيم ـ بشكل عام ـ لمن يعاني من ارتفاع درجة الحرارة...
بدأت وزارة الصحة أمس، في استقبال المشاركات في جائزة “وعي” في موسمها السادس والبالغ إجمالي جوائزها أكثر من مليون...